Menu
X
image

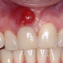
Encías sanas, cavidad bucal contenta

Unas encías sanas te permiten evitar esa apariencia inflamada y rojiza en la boca que podría avergonzarte al sonreír, además del dolor que ocasiona esta condición y el sangrado que produce al cepillarnos. Debes saber que una de las principales causas de la pérdida de dientes es la enfermedad en las encías o gingivitis. Pero Read More

Read More
image

Clasificación de los aparatos de ortodoncia

El ortodoncista utiliza los aparatos de ortodoncia como herramientas para conseguir que los dientes se muevan hacia donde el desee. Pero claro, cada uno de estos aparatos tiene sus propias características, beneficios y también inconvenientes. Por supuesto, no todos los aparatos de ortodoncia sirven para tratar las mismas condiciones, así como tampoco hay un solo Read More

Read More

© Copyright 2017 Odontologia. Todos Los Derechos Reservados.