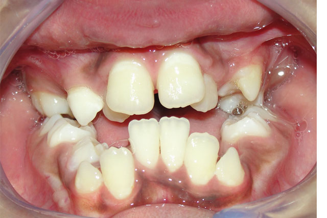
Maloclusión: tipos, causas y cómo identificarla

La maloclusión es cuando los dientes superiores no encajan con los inferiores o viceversa. Esto se debe a una mala alineación en los dientes.
Personas de todas las edades pueden padecer esta mal formación y si no es corregida puede causar muchas molestias e incomodidad. En algunos casos no severos no se requiere tratamiento mientras que en otros es necesario un tratamiento de ortodoncia, para los cuales existen diferentes opciones que se acomodan al paciente.
Las causas de la maloclusión vienen en la mayoría de los casos desde los primeros años de edad en la infancia, los casos más comunes son a raíz de chuparse los dedos, usar biberón luego de cierta edad y a veces el uso del chupete. Otros casos se dan a raíz de herencia, si el padre o la madre tiene una mala mordida entonces el primogénito puede desarrollar una maloclusión.
Otras causas son respirar por la boca y empujar los dientes con la lengua a diario.
Tipos de maloclusión
- De clase I: en esta las muelas tienen una correcta alineación pero los demás dientes no y no encajan correctamente debido a rotaciones de los dientes y demás deformaciones.
- De clase II: En esta los dientes inclinados y en algunos casos pueden verse aumentados o disminuidos de tamaño.
- De clase III: esta se debe a la mal formación de las muelas, mientras que en los demás casos los dientes centrales y de los lados son los que influyen, en este son las muelas. Algo muy común.
Algunos de estos casos también se dan de un solo lado, también se le maloclusión pero en este caso seria unilateral.
Existe un porciento elevado de personas que tienen esta mala alineación de los dientes, motivo por lo cual es común ver personas con problemas para respirar por la nariz y demás. Si padeces maloclusión, visítanos para un tratamiento de ortodoncia de alta calidad o una evaluación general.