Menu
X
image

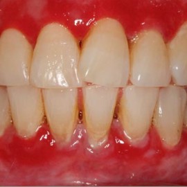
La salud bucal en la tercera edad

Cuidar de los dientes en la tercera edad es de suma importancia ya que a medida que pasa el tiempo, los dientes tienden a degenerarse por varios factores. La salud bucal de cualquier persona se resume a procedimientos tales como el cepillado después de cada comida, el uso del hilo y enjuague bucal, así como Read More

Read More
image

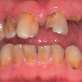
¿Qué es el trastorno temporomandibular?

Existen músculos y articulaciones que controlan el movimiento de la mandíbula, estos son diferentes a los demás y es uno de los movimientos más complicados del cuerpo. El trastorno temporomandibular son afecciones y dolores en las articulaciones que dificultan los movimientos de la mandíbula como masticar y hablar. El trastorno temporomandibular es más común en Read More

Read More

© Copyright 2017 Odontologia. Todos Los Derechos Reservados.