Enfermedades bucales debido a la diabetes

La irregularidad en el funcionamiento de los vasos sanguíneos en algunas personas deja a su paso, entre otras consecuencias, enfermedades bucales debido a la diabetes. Específicamente, nos referimos a las enfermedades periodontales, las cuales provocan que los dientes no puedan mantenerse en su lugar debido a una infección en los huesos y las encías que los sostienen.
Por supuesto, con el cuidado y las medidas pertinentes se pueden evitar o tratar exitosamente estas enfermedades bucales debido a la diabetes. Sin embargo, la diabetes mal controlada, fumar y los malos hábitos de higiene bucal pueden provocar y agravar los síntomas de estas enfermedades.
Algunos de estos síntomas de las enfermedades periodontales pueden ser los siguientes:
- Irritación y sensibilidad de las encías
- Sangrado al cepillarse
- Retracción de las encías provocando dientes flojos
- Mal aliento
- Flujo de pus en encías y dientes
- Alteración en la alineación mandibular
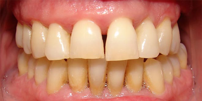
La clasificación de las enfermedades periodontales está sujeta a diferentes etapas que van sucediendo según vaya avanzando el problema, esto ayuda a identificar en cual fase se encuentra la persona que la padece.
La Gingivitis: Es la primera etapa y por tanto la más leve. Se identifica por el enrojecimiento y la hinchazón de las encías, lo que causa sangrado fácilmente.
La Periodontitis leve: Aquí comienza a desgastarse el hueso que soporta el diente.
La Periodontitis avanzada: Al llegar a esta etapa se muestra un desgaste grave en los huesos y los tejidos que rodean y sostienen los dientes.
Cabe destacar que solo el descuido puede llevar de una etapa a la otra. Si la persona afectada trata las enfermedades bucales debido a la diabetes a tiempo puede erradicarse.